ADVERTISEMENT
ADVERTISEMENT
ADVERTISEMENT

Orale manifestaties die wijzen op voorheen niet herkende ziekten

Zeldzame genetische aandoeningen kunnen zich niet alleen manifesteren in uiterlijke kenmerken, maar ook in ongewone gebitsproblemen. Ontdek hoe tekenen zoals broosheid, verkleuring of abnormale gevoeligheid vroege indicatoren kunnen zijn van onderliggende aandoeningen.

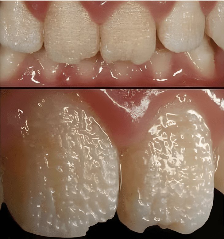
Hoe herken je amelogenesis imperfecta?

  • Een afwijking van het tandglazuur: de achilleshiel van uw tanden

Uw tanden zijn als natuurlijke forten, en glazuur vormt hun  beschermende barrière . Wanneer we spreken van amelogenesis imperfecta ( AI ),   vertoont  deze natuurlijke barrière gebreken in zijn vorming , waardoor deze  broos wordt  of in sommige gevallen zelfs  verdwijnt . We zien dan  een verminderde dikte ,  abnormale porositeit of  een gebrekkige mineralisatie , waardoor het  dentine  onbeschermd blijft tegen externe agressies.

  • Tandveranderingen die met het blote oog zichtbaar zijn

Tanden die door deze aandoening zijn aangetast ,  vertonen vaak  opvallende kenmerken  :  gele tot bruine verkleuring ,  onregelmatige textuur ,  abnormale transparantie  of  een neiging tot afbrokkelen . Naast het lelijke uiterlijk wijzen deze tekenen op een  ernstig tandheelkundig probleem , aangezien deze tanden bijzonder  gevoelig  en  broos zijn voor gaatjes .

Sommige vormen van AI zijn  mild , terwijl andere   de kauwfunctie  ernstig kunnen aantasten , waardoor elke maaltijd een pijnlijke beproeving wordt .

  • Verhoogde tandgevoeligheid

Als je wilt doorgaan, klik op de knop onder de advertentie ⤵️

Advertentie
ADVERTISEMENT

Laisser un commentaire

histat.io analytics